Tel: +385 1 2333 082 Mobilni: +385 98 311 606

Privatna stomatološka ordinacija
Dr. Amra Pašić Culifaj

Doktor Stomatologije

Usluge koje pružam

  • ESTETSKA STOMATOLOGIJA UKLJUČUJE KOMPOZITNE ISPUNE VRHUNSKE KVALITETE

    - Esteski kompozitni ispuni
    - Izbjeljivanje zubi
    - Korekcije oblika i boja prednjih zubi kompozitnim ispunima
  • ESTETSKA PROTETIKA UKLJUČUJE LJUSKICE NA PREDNJIM ZUBIMA ( VEENER), BEZMETALNU KERAMIKU I ZIRKON KERAMIKU
  • MOBILNA PROTETIKA WIRONIT PROTEZE S ATTACMENTIMA (VEZAMA)
  • PREVENTIVNA STOMATOLOGIJA ČIŠĆENJE ULTRAZVUKOM KAMENA I POLIRANJE FLUORIDNIM PASTAMA., KIRETAŽE

Galerija

Zatvaranje dijasteme Prije i poslije: Zatvaranje dijasteme (razmaka između zubi) kompozitnim materijalom
Fiksna protetika Prije i poslije: Fiksna protetika, keramički most
Zatvaranje dijasteme Prije i poslije: Zatvaranje dijasteme (razmaka između zubi) kompozitnim materijalom
Zatvaranje dijasteme Prije i poslije: Zatvaranje dijasteme (razmaka između zubi) kompozitnim materijalom
Fiksna protetika Prije i poslije: Fiksna protetika: keramičke krunice prije i poslije
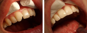
Frakture zubi Prije i poslije: Frakture zubi. Kompozitni ispun na mjestu frakture
Frakture zubi Prije i poslije: Frakture zubi. Kompozitni ispun na mjestu frakture
Slučaj protetika Prije i poslije: Slučaj protetika, keramičke krunice
Slučaj zatvaranje dijasteme Prije i poslije: Slučaj zatvaranje dijasteme kompozitnim materijalom